Gigi & Mulut

Karies Dental

Rabu, 3 September 2025 | 15:21
Karies dental atau gigi berlubang adalah kondisi terjadi kerusakan pada lapisan enamel dan dentin.

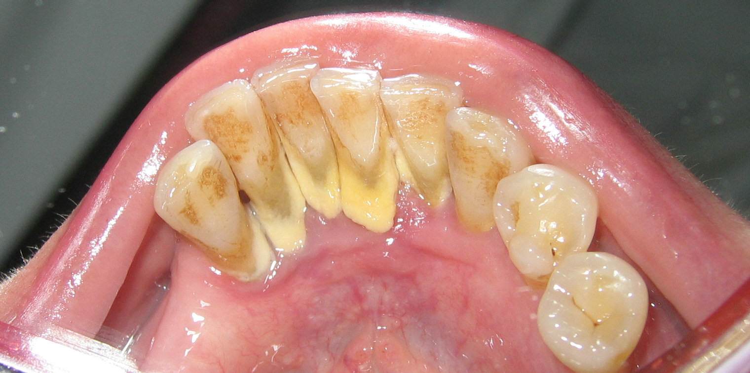
Karang gigi

Rabu, 3 September 2025 | 15:07
Karang gigi adalah plak yang melekat dan mengeras pada permukaan gigi.

Kandidiasis Mulut

Rabu, 3 September 2025 | 14:47
Kandidiasis mulut adalah salah satu infeksi pada mulut yang disebabkan oleh jamur Candida.

Infeksi Gusi

Rabu, 3 September 2025 | 14:40
Infeksi gusi adalah infeksi berbahaya di mulut yang menyebabkan kerusakan dan peradangan pada gusi

Glositis

Rabu, 3 September 2025 | 14:31
Glositis adalah radang lidah yang menyebabkan lidah bengkak dan menglami kemerahan.

Gingivitis

Rabu, 3 September 2025 | 14:26
Gingivitis adalah peradangan pada jaringan gingiva atau gusi.

Gigi Sensitif

Rabu, 3 September 2025 | 14:18
Gigi sensitif adalah rasa tidak nyaman dengan sensasi rasa ngilu dan nyeri pada gigi.

Fraktur Mandibula

Rabu, 3 September 2025 | 14:03
Fraktur mandibula adalah salah satu fraktur pada daerah wajah yang cukup sering terjadi

Fraktur Maksila

Rabu, 3 September 2025 | 13:27
Fraktur maksila adalah salah satu fraktur pada daerah wajah.

Fraktur Gigi

Rabu, 3 September 2025 | 12:21
Fraktur dental atau fraktur gigi adalah salah satu jenis cedera trauma gigi berupa retakan.

Topik Kesehatan